Nhu cầu chăm sóc răng miệng ngày càng tăng, đặc biệt với người trưởng thành và người lớn tuổi mong muốn có một hàm răng chắc khỏe, thẩm mỹ để tự tin trong giao tiếp và duy trì chất lượng cuộc sống. Hiểu được điều đó, phòng khám Đa khoa 5 Sao Hà Nội triển khai nhiều gói khám nha khoa khuyến mãi hấp dẫn, giúp khách hàng dễ dàng lựa chọn dịch vụ phù hợp với chi phí hợp lý.
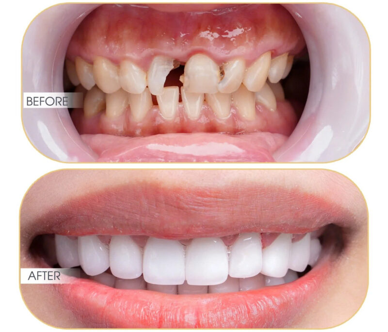
Bọc răng sứ từ 999k/răng – Giải pháp thẩm mỹ cho nụ cười trắng sáng
Răng ố màu, sứt mẻ hoặc không đều là tình trạng rất nhiều người trưởng thành và người lớn tuổi gặp phải. Bọc răng sứ là phương pháp giúp khắc phục nhanh chóng, mang lại hàm răng đều đẹp, trắng sáng và tự nhiên. Hiện tại, phòng khám Đa khoa 5 Sao Hà Nội triển khai ưu đãi chỉ từ 999.000đ/răng.
Lợi ích của bọc răng sứ:
- Khắc phục răng ố màu, xỉn màu lâu năm giúp bạn tự tin hơn trong giao tiếp.
- Tăng độ chắc khỏe cho răng giảm nguy cơ mẻ, gãy khi ăn nhai.
- Cải thiện thẩm mỹ gương mặt với nụ cười tươi tắn, trẻ trung hơn.
- Thời gian thực hiện nhanh chóng chỉ trong vài buổi là có thể sở hữu hàm răng mới đẹp tự nhiên.

Niềng răng từ 5 triệu giúp hàm răng đều đẹp lâu dài
Nhiều người vẫn gặp tình trạng răng lệch, hô, móm gây mất tự tin. Với chi phí chỉ từ 5 triệu đồng, dịch vụ niềng răng tại phòng khám Đa khoa 5 Sao Hà Nội mang đến kết quả lâu dài và an toàn.
Ưu đãi kèm theo khi niềng răng:
- Miễn phí lấy cao răng định kỳ, giúp răng luôn sạch sẽ.
- Hỗ trợ điều trị răng sâu nhẹ trước khi niềng.
- Theo dõi sát sao trong suốt quá trình để đảm bảo hiệu quả chỉnh nha tối ưu.
Đây là giải pháp phù hợp cho những ai muốn thay đổi toàn diện nụ cười, đồng thời cải thiện khả năng ăn nhai.
Nhổ răng khôn chỉ từ 799k – Giảm đau nhức, bảo vệ răng bên cạnh
Răng khôn thường mọc vào độ tuổi trưởng thành, gây nhiều phiền toái: đau nhức kéo dài, sưng nướu, thậm chí ảnh hưởng đến răng bên cạnh nếu mọc lệch hoặc mọc ngầm. Đây là vấn đề khiến nhiều bạn trẻ lo lắng, ảnh hưởng cả sức khỏe răng miệng và sinh hoạt hằng ngày.
Với giá ưu đãi chỉ từ 799.000đ/răng, dịch vụ nhổ răng khôn tại phòng khám Đa khoa 5 Sao Hà Nội mang lại nhiều lợi ích vượt trội:
- Nhổ răng an toàn, nhanh gọn với công nghệ hiện đại, hạn chế tối đa đau nhức trong quá trình thực hiện.
- Bảo vệ răng bên cạnh khỏi nguy cơ sâu, xô lệch do răng khôn mọc sai vị trí.
- Phục hồi nhanh chóng, ăn uống trở lại bình thường chỉ sau vài ngày.
- Bác sĩ chuyên khoa giàu kinh nghiệm trực tiếp thực hiện, theo dõi sát sao quá trình hồi phục.
Cấy Implant từ 6tr9/răng – Giải pháp trồng răng mới chắc khỏe như răng thật

Mất răng do sâu răng, tai nạn, tuổi tác hay nhổ bỏ bắt buộc đều gây khó khăn khi ăn nhai, làm gương mặt trông già hơn và mất tự tin khi giao tiếp. Cấy Implant là lựa chọn tối ưu giúp khôi phục răng đã mất với chức năng và thẩm mỹ gần như răng thật.
Ưu điểm nổi bật của implant:
- Ăn nhai thoải mái, không lo lỏng lẻo như răng giả tháo lắp.
- Ngăn ngừa tiêu xương hàm, giữ dáng khuôn mặt tự nhiên, không hóp má.
- Thẩm mỹ cao, nhìn tự nhiên, khó phân biệt với răng thật.
- Độ bền lâu dài, có thể sử dụng hàng chục năm, thậm chí trọn đời nếu chăm sóc tốt.
Hiện tại, phòng khám Đa khoa 5 Sao Hà Nộit riển khai mức giá ưu đãi chỉ từ 6.900.000đ/răng giúp bạn nhanh chóng lấy lại nụ cười tự tin và khả năng ăn nhai thoải mái mỗi ngày.
Gói chăm sóc răng gia đình miễn phí – Bảo vệ nụ cười cả nhà

Ngoài các dịch vụ điều trị, phòng khám Đa khoa 5 Sao Hà Nội còn mang đến gói chăm sóc răng miệng gia đình miễn phí trị giá 2,3 triệu đồng, được thiết kế đặc biệt để cả nhà cùng hưởng lợi. Đây là cơ hội giúp bạn và người thân được chăm sóc răng miệng định kỳ với chi phí tiết kiệm, an tâm tận hưởng hàm răng chắc khỏe và nụ cười bền vững. Gói dịch vụ bao gồm:
- Lấy cao răng định kỳ cho cả gia đình, giúp răng luôn sạch và hạn chế bệnh lý.
- Điều trị viêm lợi cho 2 người, ngăn ngừa biến chứng, giữ nướu chắc khỏe.
- Khám tổng quát và tư vấn chuyên sâu giúp phát hiện sớm các vấn đề và đưa ra giải pháp phù hợp.
Với gói chăm sóc này, cả gia đình bạn sẽ được bảo vệ toàn diện với mức chi phí hợp lý, vừa tiết kiệm vừa nâng cao sức khỏe răng miệng lâu dài.
Vì sao nên chọn phòng khám Đa khoa 5 Sao Hà Nội?
- Đội ngũ bác sĩ giàu kinh nghiệm: Am hiểu các vấn đề răng miệng ở mọi lứa tuổi.
- Trang thiết bị hiện đại: Ứng dụng công nghệ tiên tiến, đảm bảo an toàn và hiệu quả.
- Chi phí minh bạch, nhiều ưu đãi: Giúp khách hàng dễ dàng tiếp cận dịch vụ chất lượng.
- Chăm sóc tận tình sau điều trị: Theo dõi quá trình hồi phục, hướng dẫn chế độ chăm sóc răng tại nhà.
Các gói khám nha khoa khuyến mãi tại phòng khám Đa khoa 5 Sao Hà Nội không chỉ giúp tiết kiệm chi phí mà còn mang lại hiệu quả thẩm mỹ và sức khỏe lâu dài. Từ bọc răng sứ, niềng răng, nhổ răng khôn đến cấy implant… tất cả đều hướng đến mục tiêu mang lại nụ cười khỏe mạnh và tự tin. Liên hệ theo số hotline 1900.1271 để được tư vấn chi tiết và nhận ưu đãi hấp dẫn!
Các chương trình khuyến mại có thể kết thúc sớm, để kiểm tra thông tin về các gói khám. Vui lòng liên hệ Phòng khám theo thông tin sau:
—–
PHÒNG KHÁM ĐA KHOA 5 SAO HÀ NỘI
Địa chỉ: Số 288 đường Hồ Tùng Mậu – Phú Diễn – Bắc Từ Liêm – Hà Nội
Nhắn tin: m.me/phongkham5saohanoi
Fanpage: https://phongkham5saohanoi
Đường dây nóng: 19001271
Tiktok: Phòng Khám Đa khoa 5 Sao Hà Nội





